total joint replacement patient Guide

74 year old just 19 days post bilateral partial knee replacement surgery by Dr. Phillip Ludkowski.


Before and After Knee X-Rays

Before: Bone on bone knee arthritis

After: Total Knee Replacement

BIOMET


Before: Bone on bone spurs

After: Total Knee Replacement on 59 y/o female

DEPUY


Before: bone on bone - bowed

After: Total Knee Replacement - straight

OMNI


Before: Bone on bone arthritis affecting only the medial (inside) compartment

After: Partial Knee Replacement 

BIOMET OXFORD PKR

Before: Bone on bone

After: Total Knee Replacement

OMNI


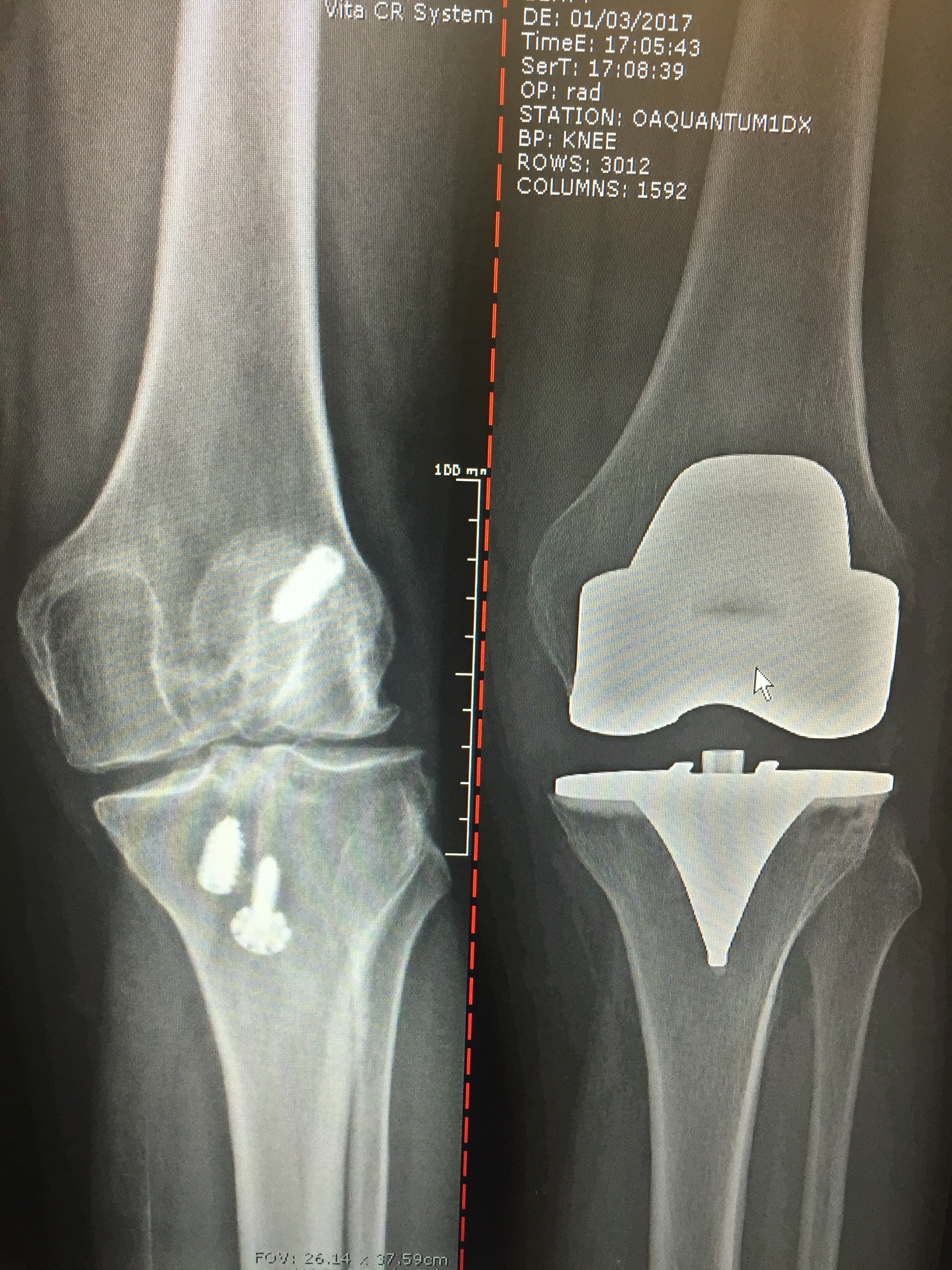
Before: Post traumatic knee arthritis with retained screws, rod, wires and deformity

After: Complex Total Knee Replacement - leg now straight

BIOMET REVISION


Before: Previous Ligament surgery

After: Total Knee Replacement on 45 y/o female

OMNI


Joint Replacement Manufacturers